以《好小子》系列電影走紅的男星顏正國,罹患肺腺癌晚期,10月(7)日病逝,享年50歲,消息震驚演藝圈,外界也高度關注肺腺癌癥狀。營養師高敏敏10月(8)日在臉書發文提醒,肺腺癌不只發生在吸菸族群,非吸菸者病例逐年攀升,出現6大癥狀快就醫。

專家曝罹患肺腺癌4大成因!6癥狀快就醫
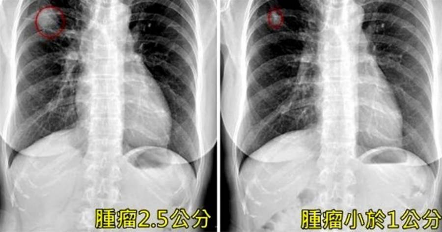
高敏敏指出,肺腺癌被稱為「沉默的殺手」,初期幾乎沒有明顯癥狀,往往發現時已屬中晚期。
室內空汙:長期吸入廚房油煙、燒香氣體會造成肺部慢性發炎。
室外空汙:工廠、汽機車廢氣中的懸浮微粒易使肺細胞突變。
抽菸與二手菸:菸品中的焦油與致癌物直接傷害肺部組織。 遺傳因素:若家族中有人罹癌,自身風險也會提高。
高敏敏提醒,若出現長期咳嗽、食慾不振、體重下降、易疲倦、胸痛、呼吸急促等癥狀,務必提高警覺並儘早就醫,「早期發現、早期治療是關鍵,第一期的療愈率可高達八成以上」。

飲食上可以如何預防肺腺癌?高敏敏建議,採取「地中海型飲食」,多攝取蔬果、全穀類與優質油脂,並補充富含Omega-3的食物(如鮭魚、鯖魚、亞麻仁籽),以及多吃大豆製品中的大豆異黃酮,有助抗發炎與抗氧化。
此外,高敏敏呼籲,加工肉品、內臟類應盡量少吃,因其含脂肪與鹽分高,長期攝取會增加肺腺癌與慢性病風險,避免喝啤酒、蘋果酒,內含乙醇、乙醛等高致癌物,容易誘發癌變,也要少吃高鹽飲食,因為攝取過多高鈉恐增加發炎反應與血壓負擔。
文章未完,點擊下一頁繼續
文章未完,點擊下一頁繼續
下一頁