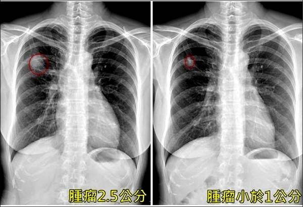
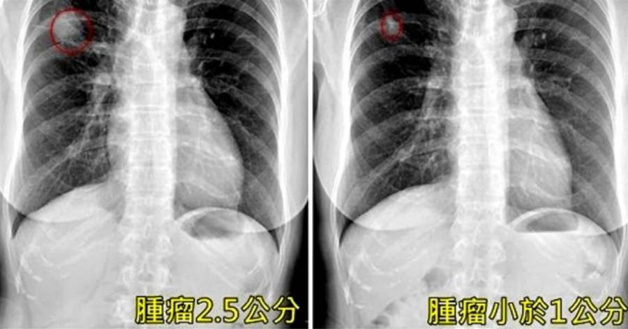
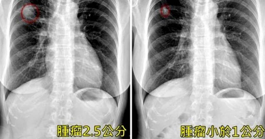
根據《TVBS新聞網》報導,近期藝壇大咖顏正國因肺腺癌離世,再度引發社會各界對于肺癌議題的關注。台灣的肺癌死亡率連續43年高居首位,更令人憂心的是,女性患者人數持續攀升,且大部分並非因吸菸或長期烹調所致。

圖片來源:民視
台大醫院外科部主任陳晉興在專訪中指出,國內肺腺癌患者中,不吸菸者的比例竟然超過吸菸者。

圖片來源:自由時報
專家特別提醒,女性肺癌患者增加的原因,可能與日常使用的化妝品有關。原來,許多粉狀化妝品中都含有滑石粉,而滑石粉常與一級致癌物質「石綿」共生。要完全去除滑石粉中的石綿,需要投入龐大成本,導致無石綿化妝品的售價約為一般產品的10倍。

圖片來源:ETtoday
陳晉興進一步解釋,目前市面上的平價粉狀化妝品,含有石綿的機率相當高。雖然某些先進國家已經嚴格把關化妝品成分,會檢測是否含有石綿等有害物質,但台灣在這方面的管制仍有待加強。

圖片來源:今日新聞
醫師建議愛美女性,選購化妝品時應謹慎評估,盡量避免購買過于便宜的產品。如果沒有特別需要化妝的場合,建議及早卸妝,以降低潛在的健康風險。
文章未完,點擊下一頁繼續
下一頁