台中市一名60歲的女信徒,近幾年排便後肛門時常流血,原本她以為是痔瘡釀禍,但隨著癥狀惡化,感覺不妙的女信徒便到中區的萬春宮拜拜。

媽祖也指示她到澄清醫院中港院區找大腸直腸外科醫師陳周誠,經診斷女信徒確診直腸癌,並已移轉肝臟,肝臟腫瘤超過10顆猶如滿天星,緊急動刀後搭配化療,最終女信徒順利撿回一命,正持續追蹤觀察中。

據了解,該名女信徒家住中區,近年來她解便後經常有肛門出血癥狀,起初她誤以為是痔瘡,買成藥吃後未見改善,後續她也到萬春宮找媽祖求助,媽祖則要她到澄清醫院中港院區找陳周誠求診。

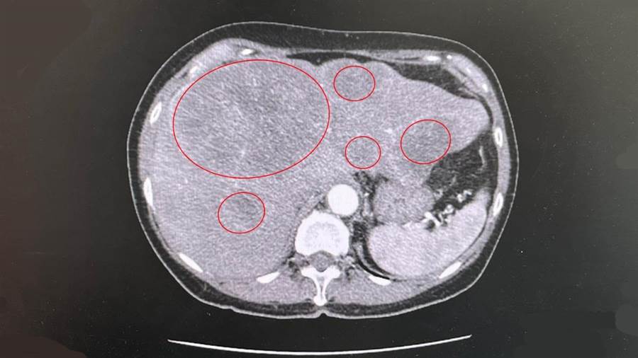
而陳周誠也透過大腸鏡檢查診斷,女信徒直腸上段三分之一處有一顆約7公分大的癌腫瘤,並轉移至肝臟,腹部電腦斷層掃描也看見肝臟佈滿大大小小,由1公分到6.

于是女信徒也進行直腸癌手術,切除一段約19公分的直腸,再接合前後段正常直腸,陳周誠說明,術後腫瘤RAS基因檢驗顯示為野生型,因此對女信徒的肝腫瘤進行抗表皮生長因子標靶藥物合併化學治療,每三週住院注射一次,現階段女信徒于十天後順利出院,持續觀察中。

文章未完,點擊下一頁繼續
文章未完,點擊下一頁繼續
下一頁 
    
    
         
    
    
         
    
    
         
    
    
         
    
    
         
    
    
         
    
    
         
    
    
         
    
    
         
    
    
         
    
    
         
    
    
         
    
    
         
    
    
         
    
    
         
    
    
         
    
    
         
    
    
         
    
    
        