小孩子的抵抗力,真的不能用大人標準來判斷!每年下旬開始,家中有小孩的爸媽一聽「腸病毒」便聞風色變,根本不能大意,有醫師無奈分享案例,只因壞習慣不改善,哀嘆:「12個小時內,女童就走了。」過程讓人聽了超心酸。

圖/翻攝自 中時新聞網
根據《三立新聞》報導,小兒科醫師張華倫在節目《醫師好辣》中點出,腸病毒好發于5歲以下幼童,一但沒注意孩子身體狀況,悲劇就有可能發生,提及接觸過案例,一位約3、4歲的女童已

圖/翻攝自 醫師好辣 YouTube (下同)
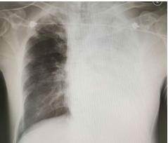
原本還有力氣哭鬧要回家的女童,經過安撫後漸漸安靜下來,才過沒多久,父母便發現女童呼吸狀況變得詭異、越來越喘,醫師當下急照X光檢查,震驚發現


圖/翻攝自 LINE Today、媽咪拜 (示意圖)
女童病情急速惡化,因出現肺部積水緊急轉送加護病房,進行插管、呼吸器治療,但她的血壓卻開始不穩,使用強心劑維持血壓、心律等急救措施,儘管極力搶救仍回天乏術,送到醫院12小時左右就離開了!醫師張華倫無奈說明,
文章未完,點擊下一頁繼續
文章未完,點擊下一頁繼續
下一頁