小孩子的抵抗力,真的不能用大人標準來判斷!
每年3月下旬開始,家中有小孩的爸媽一聽「腸病毒」便聞風色變,根本不能大意,有醫師無奈分享案例,
只因壞習慣不改善,哀嘆:「12個小時內,女童就走了。」過程讓人聽了超心酸。
根據《三立新聞》報導,小兒科醫師張華倫在節目《醫師好辣》中點出,腸病毒好發于5歲以下幼童,
一但沒注意孩子身體狀況,悲劇就有可能發生,提及接觸過案例,一位約3、4歲的女童已連續發燒2天,
父母見她胃口不佳、狀況沒好轉,在傍晚5點多趕緊將她送急診,經過診斷後確診感染腸病毒ADVERTISEMENT
女童的嘴巴內部也破得很厲害,才會痛到不願進食,當下便要她立即住院治療。

原本還有力氣哭鬧要回家的女童,經過安撫後漸漸安靜下來,才過沒多久,
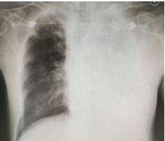
父母便發現女童呼吸狀況變得詭異、越來越喘,醫師當下急照X光檢查,
震驚發現女童「肺部已經白掉大半了」,嘴角甚至流出粉紅色泡泡狀的口水,
這是病毒已經影響女童腦幹的跡象ADVERTISEMENT


女童病情急速惡化,因出現肺部積水緊急轉送加護病房,進行插管、呼吸器治療,
但她的血壓卻開始不穩,使用強心劑維持血壓、心律等急救措施,儘管極力搶救仍回天乏術,
送到醫院12小時左右就離開了!醫師張華倫無奈說明,
文章未完,點擊下一頁繼續
文章未完,點擊下一頁繼續
下一頁