台南一名25歲男子在四肢刺青大面積圖案,但沒過多久,男子就發現圖案刺上黑色的區域竟長出許多小丘疹,並帶來搔癢刺痛的感覺,外觀看過去也引起不適,進而影響生活。男子受不了所以前往皮膚科就診。

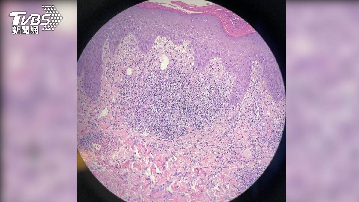
安南醫院皮膚科主任羅子焜表示,經病理切片檢查發現,男子的丘疹起因于皮膚對黑色顏料過敏,引起刺青肉芽腫反應所致。後續經口服藥物1個月,外觀已恢復正常,不適癥狀也得到緩解。

羅子焜主任表示,因刺青須將大量色素顆粒注射入皮膚,可能因而引發多種發炎狀態,如過敏反應、感染及蟹足腫甚至皮膚腫瘤,皮膚是最為常見的發炎部位,甚至可能引起全身性炎癥如類肉瘤。
刺青的色素主要可分為兩組:碳黑和偶氮/多環色素,碳黑(即無定形碳顆粒、印度墨水)主要存在于黑色刺青中,偶氮和多環色素則可創造幾乎所有可見光譜的顏色;而刺青色素所含的副產品和雜質,正是可能導致發炎和過敏反應的因子。

另外,患者若因備感不適欲雷射去除刺青,羅子焜主任反而是不建議的,因為刺青顆粒很小,研究發現皮膚中的刺青墨水可在血管或其他淋巴組織中找到,如肝臟、脾臟、腎臟和肺組織等,倘若進行雷射除刺青,可能引發刺青色素的全身性擴散,且排入淋巴結中的色素可能會與腫瘤轉移混淆,需要進一步淋巴結切片診斷。
文章未完,點擊下一頁繼續
文章未完,點擊下一頁繼續
下一頁