最近,診室裡來了一位50歲的王先生。「張醫生,我這打嗝快兩年了,藥吃了幾十盒,胃鏡也做了四次,就是好不了……」他的聲音裡滿是疲憊。浙江省中醫院消化內科主任醫師張駿翻看他厚厚一疊外院胃鏡報告,結論都是「慢性萎縮性胃炎伴糜爛」,病理提示胃角輕度萎縮性炎伴輕度腸化。表面看確實沒什麼大問題,但經驗告訴他:這份「平靜」背後,很可能藏著被忽略的蛛絲馬跡。

「您的問題可能沒那麼簡單。」醫生鄭重地說,「我建議做一次精查放大胃鏡——不是重復之前的檢查,而是像用放大鏡一樣,對胃裡每個可疑角落進行地毯式搜尋。」
「我都做了四次胃鏡了,再查還能有什麼不同?」醫生表示,很多患者都會這樣想,為什麼做了多次胃鏡,醫生依舊要求再做胃鏡。事實上,普通胃鏡是常規掃查,精查胃鏡讓我們能在可疑部位「蹲下來」一寸寸找。有些病變,只有在染色、放大和精準活檢下才會現形。
結果證實了醫生的判斷。

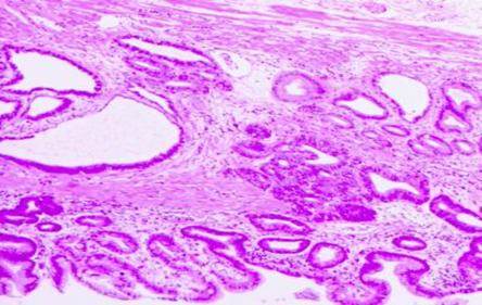
病理結果(腺癌)
後續的內鏡下黏膜剝離術(ESD)很成功。病理確認是胃角腺癌,切緣陰性,意味著病灶被完整切除。因為發現得早,他躲過了開腹手術和化療的折磨。更讓人欣慰的是,術後一個月,糾纏他兩年的「打嗝魔咒」終于解除。
文章未完,點擊下一頁繼續
文章未完,點擊下一頁繼續
下一頁